На татами — ясиноватские борцы
6—7 февраля в г. Донецке проводилось Открытое первенство Областной специализированной детско-юношеской спортивной школы Олимпийского резерва по видам борьбы по дзюдо среди юношей 1990—1993 г.г.р., где принимали участие сильнейшие спортсмены городов Донецкой области.
Подари себе здоровье!
Компания «Nuga Best» — эксклюзивный официальный дистрибьюторо фирм-производителей массажного оборудования в Украине.
Массаж является одним из самых простых, и в то же время самых эффективных и доступных способов улучшить свое здоровье.
Мы предлагаем массажные товары наивысшего качества, постоянно расширяем их ассортимент и обеспечиваем покупателей максимальной информацией о торговой марке.
Будут настоящими казаками
Совсем недавно состоялся Большой совет Украинского реестрового казачества (УРК). На котором, кроме всего прочего, было принято «Обращение реестровых казаков к гражданам Украины». В нем, в частности, говорится, что УРК «перед Богом и людьми взяло на себя ответственность за возрождение духовности и патриотизма народа Украины».
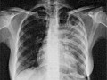
Знакомьтесь — туберкулезная палочка
24 марта — Всемирный день борьбы с туберкулезом. Эта проблема актуальна во всем мире, но особенно — в Украине, в том числе и в городе Ясиноватой. В 2008 г. рост заболеваемости туберкулезом в сравнении с 2007 г. составил 11,3%, в т.ч. тяжелыми деструктивными формами, удельный вес которых составил 57,1%, что говорит о поздней обращаемости! Несмотря на тяжелую эпидемическую ситуацию, в городе растет количество отказов от прививок БЦЖ и от диагностической реакции Манту, что называется: «пилим сук, на котором сидим».
Уплата алиментов
Родители обязаны содержать ребенка до его совершеннолетия (ст. 180 Семейного кодекса Украины). Если отец отказывается добровольно выполнять эту обязанность, мать имеет право обратится в суд для взыскания алиментов (независимо от того, находятся родители в браке или нет).
Донетчина лидирует по токсикомании и алкоголизму среди несовершеннолетних
Сегодня на официальном учете в наркодиспансерах Донецкой области состоят около 330 детей-алкоголиков в возрасте до 17 лет. Однако детей, больных алкоголизмом, в области гораздо больше. Об этом на пресс-конференции в Донецком пресс-клубе сообщила заместитель начальника главного врача Донецкого областного наркодиспансера Елена Медведева. Возраст юных алкоголиков со стажем — 11-12 лет. Причем, по словам Е. Медведевой, алкоголизм — это промежуточный этап от употребления спиртного к токсическим веществам и наркотикам.
Автомобиль во дворе
Парковка транспорта во дворах жилых домов — больная тема для любого города Украины. Сегодня автомобили все настойчивее осваивают пространство, предназначенное для детских и спортивных площадок, уничтожают газоны и создают другие трудности для жильцов. Им не помеха бордюры и всевозможные заграждения. Вот жители и жалуются на загруженность дворов машинами, загазованность и шум.
Спорт для всех
ШАХМАТЫ. Макеевская гимназия 1 марта принимала участников первенства города по шахматам среди школьников. Гостями и соперниками на турнире стала команда городской детско-юношеской спортивной школы — отделение шахмат, под руководством тренера Гнездилова Е.Н. Среди младших школьников победил своих соперников и занял І место Данил Химичев, учащийся школы № 2. В соревнованиях среди старших школьников у нас два призера: Алексей Шиянов — серебряный (ОШ №2) и Андрей Овраг — бронзовый призер (ОШ №7).
Техосмотр — 2009. Порядок проведения.
С января текущего года вступило в силу Постановление Кабинета министров Украины № 606 от 09.07.2008 года «Об утверждении Порядка проведения государственного технического осмотра колесных транспортных средств». Автомобильно-техническая инспекция ОГАИ г. Ясиноватая ранее информировала владельцев транспортных средств о частичных изменениях в проведении государственного технического осмотра (далее ТО):
Милиция против самогонщиков. Первый раунд
Ясиновастким горотделом милиции в феврале этого года в ходе оперативных мероприятий в гараже, принадлежащем гражданину Н., 1970 года рождения, у дома №6 по улице Некрасова, был обнаружен подпольный цех по изготовлению алкогольной продукции кустарного производства, а проще говоря — самогона.





